LBMLBM™ Teeth Armor Drops
The Secret Your Dentist Won’t Tell You: Why “Drilling” Isn’t The Only Way Out.
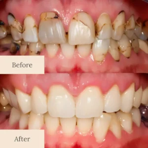
Revealed: The “Overnight Shield” Strategy That Is Helping 14,000+ Americans Reverse Tooth Decay, Erase Sensitivity, and Avoid $6,000 Surgeries.
- Stops the “Drill & Fill” Cycle: Attacks the root cause of decay, not just the symptoms.
- Rebuilds Enamel: Nano-Hydroxyapatite physically fills micro-lesions while you sleep.
- Saves Thousands: Protect your teeth from expensive crowns, root canals, and gum grafts.
Why Modern Dentistry Often Fails Your Teeth
You brush twice a day. You floss. You buy the expensive electric toothbrush.
Yet, every 6 months, you sit in that chair and hear the same heartbreaking news: “You have a new soft spot.” “Your gums are receding.” “We need to schedule another filling.”
It feels like you’re losing control.
For decades, we’ve been told that once enamel is damaged, it’s gone forever. We’ve been told that decay is permanent and drilling is inevitable.
But what if that wasn’t true? What if the products in your bathroom—the ones you rinse away in 2 minutes—are simply failing to address the microscopic reality of your teeth?
The Part About Cavities That Rarely Gets Explained

A cavity does not appear overnight.
- Long before there is pain.
- Long before there is a visible hole.
- Long before drilling is even suggested.
Your tooth enters a silent phase of weakness. At the microscopic level, essential minerals are being stripped from your enamel. The surface becomes porous. Tiny micro-lesions begin to form.
At this stage, your tooth is not destroyed. It is depleted. And depletion is not the same thing as permanent damage.
Why Cavities Were Labeled “Permanent”

Traditional dentistry developed around treating advanced decay. By the time a cavity is officially diagnosed, the damage is usually severe. Naturally, the conclusion was: “Once enamel is gone, it cannot be restored.”
BUT this conclusion ignored the most important phase.
The Question That Changed Everything

Modern research proves that enamel behaves differently when mineral loss is addressed early—before the pain, before the drilling, and before the damage becomes irreversible.
The question changed from “How do we remove decay?” to: “What if we could replace the minerals enamel is losing before the cavity even forms?”
This shift led scientists to a breakthrough discovery: Nano-Hydroxyapatite. By reducing the tooth’s natural building blocks to a microscopic scale, we can finally “refill” the porous areas of a tooth before they collapse. This is the science that turns the “permanent” process of decay into an interrupted process of repair.
And that is exactly why we created LBMLBM™.
INTRODUCING: LBMLBM™ TOOTH ARMOR SERUM

The First “Leave-On” Enamel Reconstruction Therapy
Most oral care products are designed to clean. LBMLBM is designed to rebuild.
Think of it as a high-end recovery serum for your teeth. You apply it after brushing, right before bed. You do not rinse. While you sleep, it creates a protective “Overnight Shield,” working for 8+ hours to remineralize enamel, seal exposed roots, and neutralize bacteria.
3 Reasons Why LBMLBM Works

Standard toothpaste relies on fluoride and numbing agents. They mask the pain but ignore the structure. LBMLBM uses Targeted Science to attack the root cause:
1. THE BUILDER: Nano-Hydroxyapatite (nHA) Your teeth are 97% Hydroxyapatite. We use a nano-sized version that is chemically identical to your natural enamel. It penetrates deep into microscopic pores to “re-harden” soft spots.
2. THE KILLER: Nano Silver A cavity is a bacterial infection. Nano Silver particles slip between bacterial cells and neutralize them on contact without harming your healthy oral biome. No Bacteria = No Acid = No Decay.
3. THE SEAL: Zinc Oxide Sensitivity happens when your gum line recedes, exposing tiny channels (tubules) that lead to your nerves. Zinc Oxide bonds to these tubules, creating a physical “Armor” that stops sensitivity instantly.
The 8-Hour “Golden Window” Most products fail because they are rinsed away in minutes. LBMLBM is designed for your body’s natural repair cycle—sleep. At night, your saliva production drops, making your teeth more vulnerable to acid. LBMLBM stays on your teeth for 8+ hours, providing a continuous mineral drip when your teeth need it most.
Let’s Do The Math: $16.99 vs. $5,000
The dental industry is a multi-billion dollar business built on repairing damage, not preventing it.
One Filling: $200 – $400
One Root Canal: $1,500 – $2,000
Gum Graft Surgery: $6,000+
One Bottle of LBMLBM: Less than a nice dinner.
Even if LBMLBM prevents just ONE filling, it has paid for itself 5x over. But for most users, it saves them from years of expensive, painful procedures.
The goal isn’t just to save money. It’s to keep your natural teeth for life.
Product Specifications
- Net Volume: 60ml (2 fl. oz) per bottle.
- Supply Duration: 30 days of consistent nightly use.
- Packaging: Precision dropper bottle for easy, targeted application.
- Travel-Friendly: TSA-compliant size for protection on the go.
(FAQ Section)
Q: Can I use this instead of toothpaste?
A: No. Think of LBMLBM as a “serum” for your teeth. You brush and floss as normal, then apply LBMLB Mas the final step before bed. Do not rinse it out.
Q: Will this actually strengthen my enamel?
A: Yes. The minerals in LBMLBM help rebuild the surface of your enamel and protect it from future damage. Over time, your teeth can feel smoother, stronger, and more protected.
Q: How long until I see results?
A: Most users report a decrease in sensitivity within 1-2 weeks. Visible improvement in white spots and gum health typically occurs after 6-8 weeks of consistent nightly use.
Q: Can this actually help with receding gums?
A: While no product can “grow back” dead gum tissue, LBMLBM stops the cause of recession. By neutralizing the bacteria along the gumline and sealing the exposed, sensitive roots, it allows your gums to stop “retreating” and stay healthy and firm.
Cvreoz.uk is your trusted global shopping destination
Since 2018, Cvreoz.uk has been committed to offering high-quality products at competitive prices to customers worldwide. We provide a secure, seamless, and enjoyable online shopping experience supported by reliable international shipping and responsive customer service. From everyday essentials to trending innovations, Cvreoz.uk delivers exceptional value and dependable service with every order.
Shipping Information
All orders are processed within 3 to 5 business days. Delivery typically takes 2 to 3 weeks depending on your location. Every shipment includes tracking details to ensure transparency and allow you to monitor your package from dispatch to delivery.
Simple and Reliable Returns
At Cvreoz.uk, customer satisfaction is a top priority. If your item does not meet your expectations, you can return it within thirty days of receiving your order. Return shipping costs may apply. Our support team is always available to assist you with the process and ensure a smooth return experience.
100% Money-Back Guarantee
We stand behind every purchase. If you are not completely satisfied, Cvreoz.uk offers a full 30-day money-back guarantee. Our straightforward and secure refund process ensures that your shopping experience remains worry-free and reliable.

































Andrew Collins –
Daily drops strengthened teeth with noticeable comfort in the morning.
Michael Turner –
Teeth looked healthier while decay protection improved.
Daniel Hayes –
Enamel felt stronger with reduced sensitivity after overnight use.